Dental Treatments

Crown

Fixed dental restorations, e.g., crowns, bridges, as the flagship of modern dental restorations.

Implant

Replacement of missing teeth using the most advanced method today - dental implantation, i.e., tooth implantation.

Removable dental bridge (prosthesis)

If missing teeth cannot be replaced with dental implants or a fixed dental bridge in your case, a removable dental bridge is used. This solution is quick and cost-effective. However, wearing such a bridge can be uncomfortable in specific cases. Nevertheless, there is an excellent solution for this as well, which you can read about at the end of the page.

Aesthetic Filling

The most common method for treating decayed teeth is aesthetic filling. Get to know KG Dental's  procedures and treatments and have a healthy smile again!

Oral hygiene

Oral hygiene treatments include measures and procedures aimed at maintaining and improving the health of the mouth and teeth. Good oral hygiene is vital to maintaining healthy teeth and gums and preventing possible dental problems. Oral hygiene treatments include the following:

Free consultation

Want to have your teeth and gums checked? At KG Dental Dentistry and Implant Centre, we offer free dental consultations and quotations at our practice.

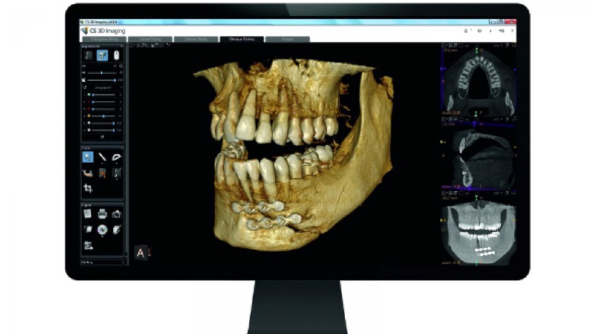
3D CT and Panoramic X-ray

3D CT and panoramic X-rays - essential tools for accurate dental diagnostics. KG Dental Dentistry and Implantation Centre performs both diagnostics.

Teeth whitening

Whiter and more natural looking teeth in up to two hours with in-office teeth whitening. Teeth whitening in Hungary at KG Dental

Anesthesia

Dental anesthesia is a method used during dental procedures to provide the patient with a comfortable and painless experience, especially when the procedure is long or invasive. There are different forms of dental anesthesia, and the method chosen depends on the patient's condition and the dental surgery to be performed.

Invisible braces

New at KG Dental. Invisible braces from the market leader Straumann. Do not give below, choose the perfect, premium solution yourself. Now at an introductory price!

Dental tips, advice

Have a dental problem? Read our latest dental tips from our dentists!

More articles »
x
Book an appointment